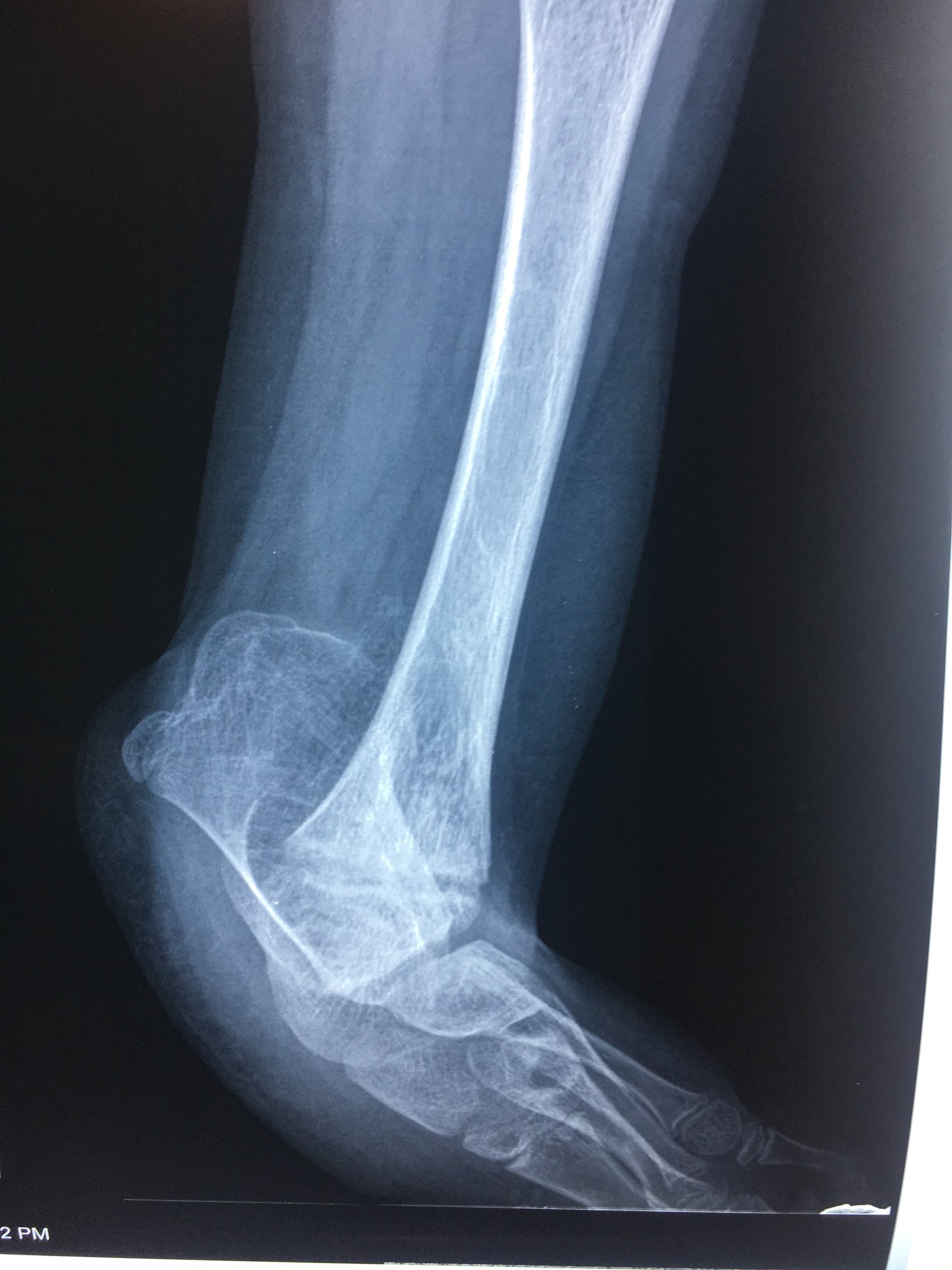
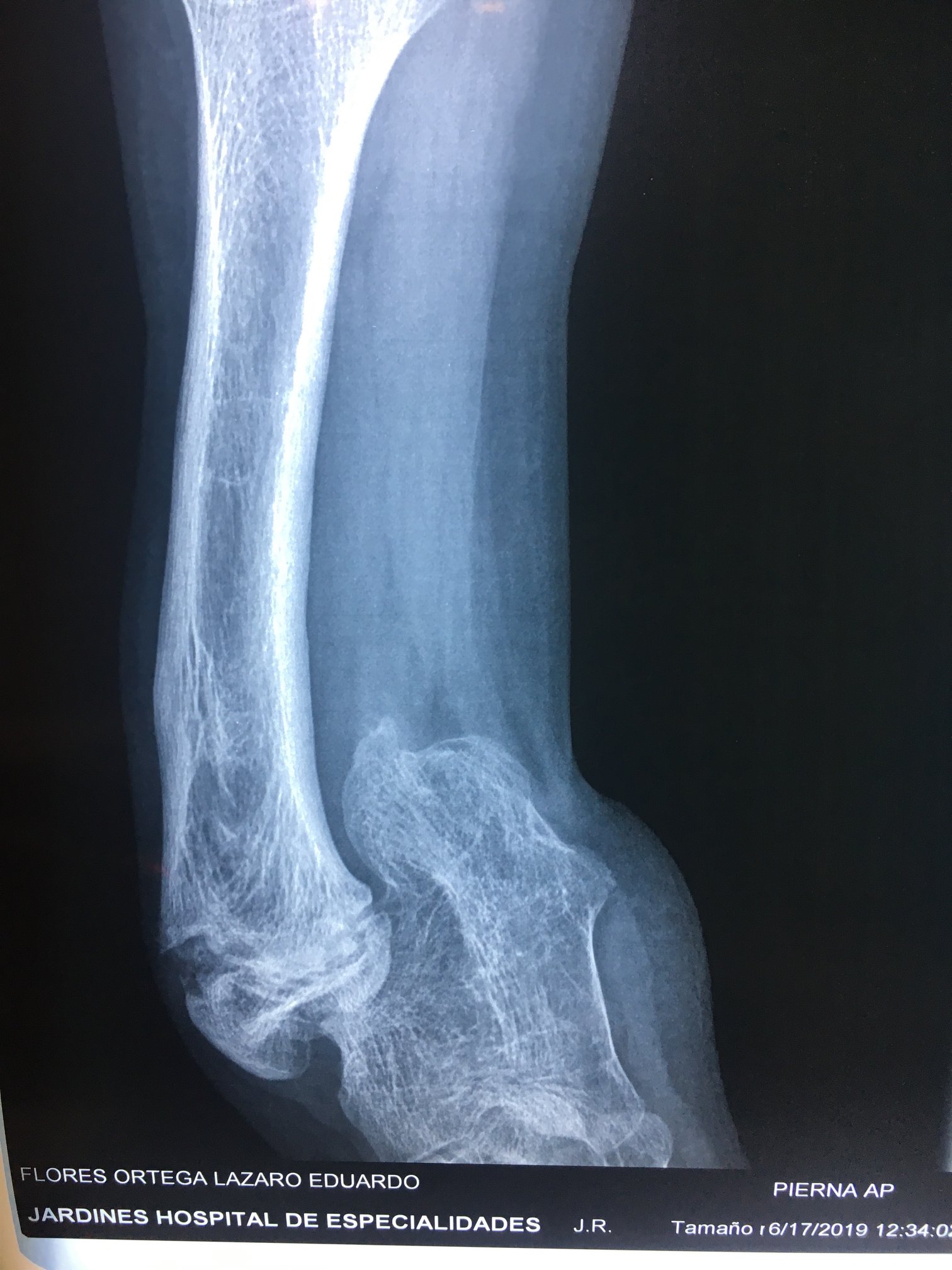
Ausencia congenita del peroné
A los papás de Lazarito les dijeron en Estados Unidos que la única alternativa para su hijo era una amputación; buscando segundas opiniones, llegaron conmigo. Lazarito, de 13 años, tiene #hemimelia #perónea, una ausencia congénita del peroné que causa malformaciones y acortamientos. Para evitar la amputación, se le realizó una reconstrucción del tobillo y alineamos su pierna de forma funcional. Ahora, mi pacientito ya camina con apoyo al 100%, realiza sus actividades diarias y dice que empezará a jugar fútbol. Agradezco a sus papás por la confianza y a sus familiares en Guadalajara por recomendarlo conmigo.