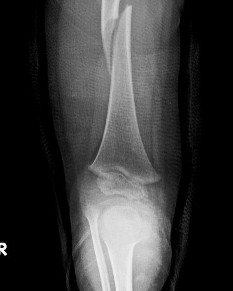
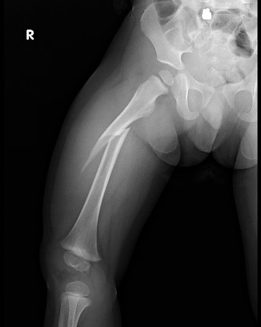
Fractura de fémur
El año pasado mi pacientito Dylan se fracturó el fémur, realizamos tratamiento conservador y ahora está al 💯 Vino a consulta y recibí este delicioso regalo, ¡muchas gracias Dylan!
El año pasado mi pacientito Dylan se fracturó el fémur, realizamos tratamiento conservador y ahora está al 💯 Vino a consulta y recibí este delicioso regalo, ¡muchas gracias Dylan!